医院新闻
骨科一康复中心成功完成颈椎间盘置换术 为颈椎病患者开辟微创治疗新路径
近日,骨科一康复中心团队在脊柱外科领域实现技术新突破——成功为一名脊髓型颈椎病患者实施颈椎间盘置换术。术后患者恢复良好,颈椎活动功能迅速改善,标志着科室在颈椎病微创化、功能保留化治疗方面迈入新阶段,为区域内同类患者提供了更优质的诊疗选择。
据悉,52岁的患者张女士因长期颈肩疼痛伴下肢无力、行走不稳,确诊为“颈椎间盘突出(C6-7节段)伴脊髓压迫”,既往因颈椎病行前路椎间融合(C5-6节段)后伴有颈椎活动受限,邻近节段退变加重进而出现症状。传统颈椎融合术虽能解除压迫,但会导致手术节段活动受限,且可能加速相邻节段退变。考虑到患者希望保留颈椎活动功能、尽快回归工作,李强主任牵头组织多学科讨论,最终确定采用“颈椎间盘置换术”这一先进术式。

术前正侧位X线
手术中,团队在显微镜下精准操作,仅通过100px的微创切口,成功摘除病变椎间盘,并植入适配的人工颈椎间盘假体。术后即刻解除神经压迫。术后第1天,患者颈肩疼痛、下肢无力状明显缓解;术后第2天顺利下床活动,经影像学检查确认假体位置精准、稳定性良好,目前已康复出院。

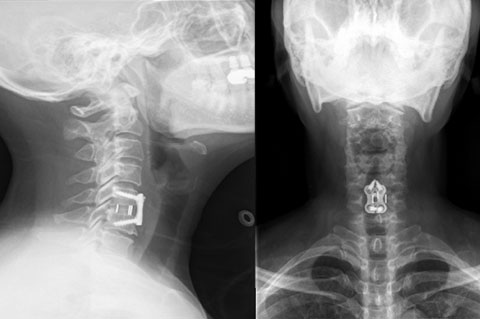
术后正侧位X线
“相比传统融合术,颈椎间盘置换术的核心优势在于‘保留活动功能’。”人工椎间盘假体可模拟人体天然椎间盘的弹性与运动特性,不仅能彻底解除神经压迫,还能维持手术节段的正常活动度,从根本上降低相邻节段退变风险,尤其适合中青年、对颈椎活动需求较高的患者。
此次颈椎间盘置换术的成功开展,是骨科一康复中心在脊柱微创技术领域的重要实践,不仅验证了团队在复杂颈椎手术中的技术实力,也为区域内颈椎病患者提供了更个性化、更优质的治疗方案。未来,科室将继续探索脊柱外科前沿技术,推动微创化、功能化治疗理念普及,为更多患者守护“颈椎健康”。






京公网安备11010702002302号